Home
Submit
Browse
Help
Help Desk
FAQs
Statistics
Taxonomy / Anatomy
Contributors / Usage Rights
Technical Details
Archive Usage Metrics
News & Updates
Data Policy
IBDC
Feedback
Contact Us
Login
Register
Indian Biological Image Archive
Export CSV
All Disciplines
Medical Imaging
Agriculture
Open Access
Managed Access
No matching studies found.
Open Access
DOI
Indian major basmati paddy seed varieties images dataset
2024-08-12
4.4GB
PPS_1000000002
3210
136
129
Quick View
Data
Open Access
DOI
An Opportunistic screening mammography dataset from a screening-naive population
2024-09-10
63GB
MAMOS_1000000004
3577
252
237
Quick View
Data
Open Access
DOI
FruitNet: Indian fruits image dataset with quality for machine learning applications
2024-10-23
3.1GB
PPS_1000000009
19526
35
48
Quick View
Data
Open Access
DOI
Facilitating spice recognition and classification: An image dataset of Indian spices
2024-12-12
1.2GB
PPS_1000000011
10991
18
53
Quick View
Data
Open Access
DOI
PSFD-Musa: A dataset of banana plant, stem, fruit, leaf, and disease
2024-12-19
109MB
PPS_1000000012
9463
21
72
Quick View
Data
Open Access
DOI
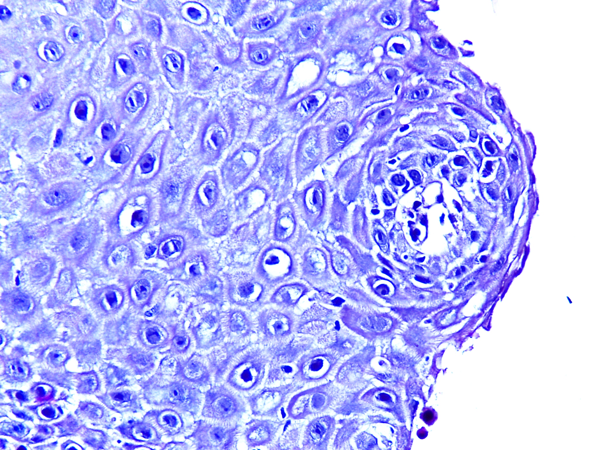
High-resolution AI image dataset for diagnosing oral submucous fibrosis and squamous cell carcinoma
2025-01-13
54GB
HISTOS_1000000013
14705
71
118
Quick View
Data
Open Access
DOI
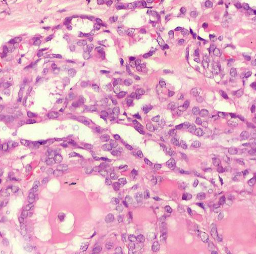
Histopathological images of thyroid lesions
2025-06-02
198GB
HISTOS_1000000014
154498
89
67
Quick View
Data
Open Access
DOI
Chákṣu: A glaucoma specific fundus image database
2025-03-16
11GB
OPTHS_1000000015
1345
24
35
Quick View
Data
Open Access
DOI
Histopathological imaging database for oral cancer analysis
2025-03-24
2.9GB
HISTOS_1000000016
1224
51
48
Quick View
Data
Open Access
DOI
Dry fruit image dataset for machine learning applications
2025-04-24
323MB
PPS_1000000020
11520
13
20
Quick View
Data
Open Access
DOI
DiverseCeph19: A Cephalometric Landmarks Annotation Dataset
2026-05-06
2.9GB
XRS_1000000021
1692
27
3
Quick View
Data
Open Access
DOI
Enhanced deep learning technique for sugarcane leaf disease classification and mobile application integration
2025-06-24
160MB
PPS_1000000022
2521
13
32
Quick View
Data
Open Access
DOI
Sugarcane leaf dataset: A dataset for disease detection and classification for machine learning applications
2025-07-16
746MB
PPS_1000000023
6748
16
39
Quick View
Data
Open Access
DOI
C-NMC: B-lineage acute lymphoblastic leukaemia (B-ALL): A blood cancer dataset
2025-08-25
859MB
HISTOS_1000000025
15114
24
18
Quick View
Data
Open Access
DOI
Developing a Deep Learning Framework for Clinical Use in Estimating Cellularity in Bone Marrow Biopsy Specimens
2025-10-16
545MB
HISTOS_1000000027
229
15
16
Quick View
Data
Open Access
DOI
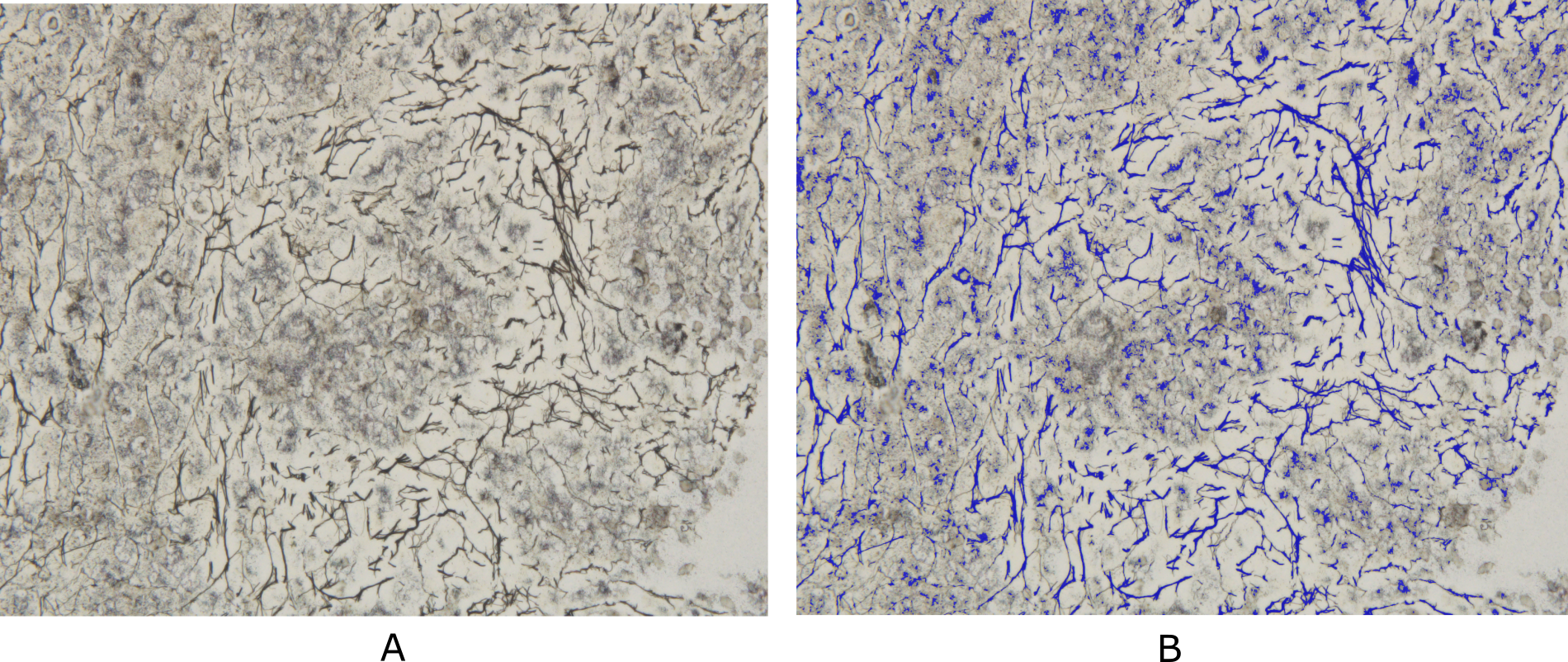
Developing Deep Learning Models for Quantitative Estimation of Reticulin Fibers in Bone Marrow Trephine Biopsy Specimens
2025-09-23
996MB
HISTOS_1000000028
250
15
14
Quick View
Data
Managed
Retinal Fundus Image Dataset for Multi Disease Biomarker Analysis
2026-06-03
N/A
OPTHS_1000000029
Releases on 2026-06-03
500
46
0
Quick View
Request
Open Access
DOI
PGIMER-IITKGP mammogram database images for microcalcification
2026-04-16
535MB
MAMOS_1000000030
110
16
4
Quick View
Data
Open Access
DOI
Dataset of Centella Asiatica leaves for quality assessment and machine learning applications
2025-11-14
1.4GB
PPS_1000000031
9094
14
13
Quick View
Data
Open Access
DOI
PCSeg: Color model driven probabilistic multiphase level set based tool for plasma cell segmentation in multiple myeloma
2025-11-14
805MB
HISTOS_1000000032
85
13
6
Quick View
Data
Open Access
DOI
Histopathological Evaluation of Virus-Induced Pulmonary Changes in HCoV-229E–Infected BALB/c Mice
2025-12-23
12GB
HISTOS_1000000033
160
26
11
Quick View
Data
Open Access
DOI
3D medical imaging data in head and neck cancer patients
2026-04-29
149GB
CTS_1000000034
699360
14
3
Quick View
Data
Open Access
DOI
IPD-Brain: An Indian histopathology dataset for glioma subtype classification
2026-01-27
744GB
HISTOS_1000000035
547
42
70
Quick View
Data
Managed
Retinal Fundus Image Dataset for Multi Disease Biomarker Analysis
2027-04-14
N/A
OPTHS_1000000049
Releases on 2027-04-14
500
4
0
Quick View
Request
Load more
×
Summary
Study
×
Download files